Амилоидоза – системно заболяване с много лица

Амилоидозата е група редки, но изключително сериозни заболявания, които се характеризират с натрупване на патологичен протеин – амилоид – в различни органи и тъкани. Името произлиза от гръцките думи amylon („нишесте“) и eidos („вид“), тъй като при първите микроскопски наблюдения тези отлагания наподобявали нишесте.
В действителност обаче амилоидът представлява неправилно нагънат протеин, който придобива характерна β-листовидна структура и става неразтворим. Организмът не успява да го разгражда и елиминира, което води до натрупването му и до постепенно нарушаване на структурата и функцията на органите.
Често наричана „заболяване с много лица“, амилоидозата може да порази почти всяка система в човешкото тяло – от бъбреците и сърцето до нервната и храносмилателната система. Тази многоликост на проявите прави разпознаването й трудно, а диагнозата често закъснява, което усложнява лечението.
Същност и патогенеза
Амилоидът е резултат от неправилно нагъване на протеини, които поради своята аномална структура се свързват помежду си и се превръщат в устойчиви агрегати. Тези агрегати се отлагат извънклетъчно, образувайки плаки. С времето плаките механично увреждат тъканите и сериозно възпрепятстват функцията им.
Причините за този процес са разнообразни. При някои пациенти се касае за генетични мутации, които водят до синтез на аномални белтъци. В други случаи хронични възпалителни процеси стимулират черния дроб да произвежда протеини, които лесно се превръщат в амилоид.
Нерядко амилоидозата се свързва и със злокачествени заболявания, особено тези на костния мозък, където плазмените клетки започват да продуцират патологични антителни вериги.
Описани са и по-редки форми, свързани с възраст, лекарствени или токсични фактори.
Видове амилоидоза

Класификацията на заболяването зависи от вида на протеина, който се натрупва. Най-разпространената форма е AL-амилоидозата, известна още като първична, която се дължи на натрупване на леки вериги на имуноглобулините и обикновено е свързана с плазмоклетъчни нарушения като мултиплен миелом. В такива случаи плазмените
клетки започват да се делят неконтролирано или да произвеждат имуноглобулинови вериги, които не функционират правилно.
Втората по честота е AA-амилоидозата, или вторична, която се развива на фона на хронични възпалителни заболявания, например ревматоиден артрит, туберкулоза или хронични инфекции. В този случай черният дроб отделя серумен амилоиден протеин А, който постепенно се натрупва в органите.
Съществуват и наследствени форми, причинени от генетични мутации, най-често в гена за транстиретин (TTR). Те се унаследяват автозомно-доминантно – генът, който носи
мутацията, се намира върху неполовите хромозоми и е достатъчно да го има у единия родител, за да се развие болестта. Наследствените форми се проявяват в средна възраст с увреждания на нервната система и сърцето. При възрастните хора може да се развие сенилна системна амилоидоза, при която нормален транстиретин започва да се отлага в сърдечния мускул.
Освен тези системни форми съществуват и локализирани амилоидози, при които отлаганията засягат само един орган. Пример за това е натрупването на амилоидни плаки в мозъка при Алцхаймерова болест или в панкреаса при диабет тип 2.
Клинична картина
Проявите на амилоидозата са толкова разнообразни, че често наподобяват други заболявания и забавят диагнозата. При засягане на бъбреците се наблюдават протеинурия, нефротичен синдром и прогресивна бъбречна недостатъчност. Когато амилоидът се натрупва в сърцето, той води до кардиомиопатия, сърдечна недостатъчност и различни аритмии.
Засягането на периферната нервна система причинява изтръпване, слабост и болка, а при засягане на автономната нервна система се появяват ортостатична хипотония, диария или еректилна дисфункция.
Храносмилателната система може да бъде поразена чрез малабсорбция, хронична диария, гастропареза (забавено изпразване на стомаха) или увеличаване на черния дроб. По кожата и меките тъкани също се откриват характерни прояви като пурпура (червеникави, виолетови или лилави петна) около очите, известна като „очи на енот“, макроглосия, тоест увеличен език, и синдром на карпалния тунел.
Тази пъстра клинична картина наистина оправдава определението за „много лица“.
Диагностика

Диагностицирането на амилоидозата е сложен процес и изисква съчетаване на клинични наблюдения, лабораторни изследвания и инструментални методи. Лабораторните тестове могат да покажат протеинурия, анемия и повишени възпалителни маркери. Образните изследвания като ехокардиография, ядрено-магнитен резонанс или сцинтиграфия са полезни за установяване на засягането на сърцето и други органи.
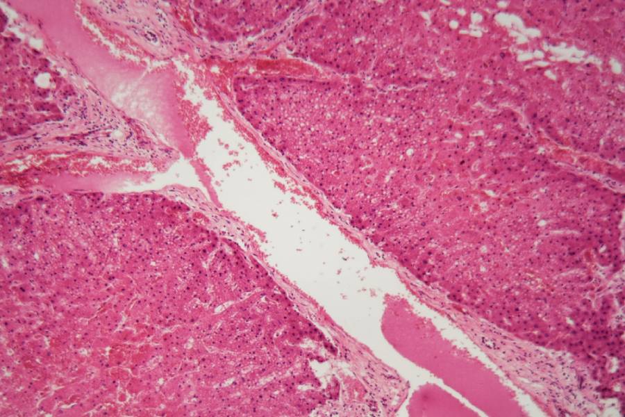
Най-сигурният метод обаче е тъканната биопсия, при която материалът се оцветява със специални багрила като конго червено.
Под поляризираща светлина амилоидните депозити светят със зелена бифригентност – двоен пречупващ ефект, характерен белег за диагнозата. При съмнение за наследствени форми се прибягва и до молекулярни изследвания, които доказват генетичните мутации.
Лечение на амилоидоза
Подходът към лечението зависи от вида на амилоидозата. При AL-формата основна цел е да се намали продукцията на патологичните плазмени клетки. Това се постига чрез химиотерапия със схеми, сходни на тези при мултиплен миелом, а при подходящи пациенти се прилага високодозова терапия, последвана от автоложна трансплантация на стволови клетки (взети от самия пациент).
При AA-амилоидозата фокусът е върху овладяване на основното възпалително заболяване. Тук все по-широко навлизат биологични терапии като инхибитори на TNF (тумор некрозис фактор) или IL-6 (интерлевкин-6), които значително намаляват синтеза на амилоидния протеин.
Фамилните форми се лекуват чрез чернодробна трансплантация, тъй като черният дроб е основният източник на мутиралия ген за транстиретин. В последните години се появиха и нови медикаменти като тафамидис, който стабилизира транстиретина и предотвратява образуването на амилоид, както и генно-силингови терапии (потискащи експресията на конкретен ген) като медикамента патисирaн.
Освен специфично лечение винаги е необходима и поддържаща терапия, насочена към облекчаване на симптомите. При сърдечна недостатъчност се назначават диуретици, при бъбречна недостатъчност – диализа, а при невропатии и стомашно-чревни прояви се прилагат различни симптоматични средства.
Амилоидозата и качеството на живот
Освен медицинското предизвикателство, амилоидозата оказва сериозно въздействие върху качеството на живот на пациентите. Хроничната умора, болките, ограничената физическа издръжливост и необходимостта от чести медицински прегледи често водят до социална изолация и психоемоционален стрес.
Симптоми като периферна невропатия или сърдечна недостатъчност могат да ограничат ежедневната активност, а гастроинтестиналните проблеми нерядко затрудняват храненето и поддържането на нормално тегло. В този контекст психосоциалната подкрепа се оказва също толкова важна, колкото и самото лечение.
Програмите за рехабилитация, психологическо консултиране и пациентски групи за взаимопомощ могат значително да подобрят адаптацията и емоционалното благополучие. Все повече внимание се обръща и на интегративния подход – включването на балансирано хранене, умерена физическа активност и техники за управление на стреса.
Така лечението на амилоидозата не се свежда единствено до медицинска терапия, а обхваща и грижата за цялостното качество на живота.
Прогноза и бъдещи перспективи
Прогнозата на заболяването зависи от формата и от това колко рано е започнато лечението. AL-амилоидозата, ако остане нелекувана, води до преживяемост от едва няколко месеца. При навременна диагноза и терапия обаче пациентите могат да живеят години и да поддържат добро качество на живот.
Съвременната наука предлага все повече надежди. Разработват се медикаменти, които не само спират образуването, но и разграждат вече натрупаните амилоидни депозити. В сферата на наследствените форми се проучва генното редактиране с технологията CRISPR, което би могло да предотврати синтеза на патологичния протеин още на генетично ниво.
Все по-прецизните диагностични методи позволяват ранно откриване, преди да е настъпило необратимо увреждане на органите. Това дава възможност за започване на лечение в най-оптималния момент и за по-добри дългосрочни резултати.
Заключение

Амилоидозата е системно заболяване, което действително има много лица. Тя може да протече с изключително различни симптоми и да наподобява множество други болести, което прави диагнозата трудна. Въпреки редкостта си, амилоидозата е сериозно предизвикателство за медицината поради тежките последици, които носи за пациентите. Благодарение на съвременните терапевтични подходи, обаче, вече съществува реална възможност за удължаване и подобряване на живота.
Научният прогрес в областта на протеиновите заболявания и генната терапия вдъхва надежда, че в бъдеще амилоидозата няма да бъде присъда, а състояние, което може да бъде контролирано или дори излекувано. Така „заболяването с много лица“ постепенно ще разкрива нови аспекти – не на страдание, а на възможност за живот, поддържан с помощта на науката и медицината.
Често задавани въпроси
Какво причинява амилоидозата?
Амилоидозата възниква, когато определени протеини в организма се нагъват неправилно, стават неразтворими и се отлагат в органи и тъкани. Причините могат да са генетични мутации, хронични възпалителни процеси или заболявания на костния мозък.
Кои органи са най-често засегнати?
Най-често се засягат бъбреците, сърцето, нервната система, черният дроб и стомашно-чревният тракт. Симптомите варират според органа, което прави заболяването „с много лица“.
Може ли амилоидозата да се излекува?
Пълно излекуване рядко е възможно, но съвременната медицина предлага терапии, които значително забавят прогресията, облекчават симптомите и подобряват качеството на живот. Ранната диагностика е решаваща за успеха на лечението.
Източници
- Mayo Clinic. Amyloidosis - Symptoms and causes, Aug. 26, 2025
- Cleveland Clinic. Amyloidosis: Symptoms, Types & Treatments, Last reviewed on 01/06/2025
Блог
Рецепти
Популярни продукти
Свързани публикации
ALS е съкращение на амиотрофична латерална склероза. Това заболяване възниква, когато клетките, отговорни за контрола на мускулите, започнат
Имунната система е нашето оръжие срещу чужди нашественици като бактерии и вируси. Ако обаче, поради някаква причина, тя
Какво е общото между прочутата творба на Рембранд „Нощна стража“ и имунната система? Сигурно мнозина ще кажат, че







